Page 8 - 120900037338_cavagna_laboratoriobiologia

Basic HTML Version

6
Esperienza 2
9
Quale fase del ciclo vitale avresti osservato preferibilmente nelle cellule più lontane
dalla punta dell’apice?
.................................................................................................................................................................................
.............................................................................................................................................................................................................................................
.............................................................................................................................................................................................................................................
10
Ritieni che potrebbe essere utile mettere la cipolla a radicare al buio? Motiva la tua
risposta.
......................................................................................................................................................................................................................
.............................................................................................................................................................................................................................................
.............................................................................................................................................................................................................................................
11
Quale funzione svolge l’acido cloridrico?
......................................................................................................................
.............................................................................................................................................................................................................................................
.............................................................................................................................................................................................................................................
12
Per quale motivo il preparato da osservare al microscopio deve essere molto sottile?
.......
.............................................................................................................................................................................................................................................
.............................................................................................................................................................................................................................................
13
Quali sono le fasi più frequenti che hai osservato?
. .............................................................................................
.............................................................................................................................................................................................................................................
.............................................................................................................................................................................................................................................
14
Calcola l’indice mitotico per ciascun preparato. Noti delle differenze?
.............................................
.............................................................................................................................................................................................................................................
1)
..............................................
a)
..............................................
2)
...............................................
b)
...............................................
3)
...............................................
c)
...............................................
4)
...............................................
d)
...............................................
Verso le competenze
Opera connessioni logiche
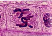
Il ciclo cellulare comprende tre tappe fondamentali: l’
interfase
, la
mitosi
e la
citodieresi
. L’interfase
è suddivisa a sua volta in G1, fase S (di sintesi) e G2. La mitosi invece viene suddivisa in quattro fasi:
profase
,
metafase
,
anafase
e
telofase
.
L’interfase rappresenta circa il 90% del tempo del ciclo cellulare e vi avvengono processi importanti
che riguardano la crescita della cellula, la duplicazione del DNA e dei suoi organuli. La cellula appare al
microscopio con il nucleo ben definito in cui si osserva la cromatina dispersa.
Durante le quattro fasi della mitosi, invece, avviene la ripartizione dei cromosomi nelle due cellule
figlie. Con la citodieresi avviene infine la separazione del citoplasma (per i dettagli sugli eventi che
caratterizzano le varie fasi si rimanda al libro di testo).
Associa le immagini reali ottenute al microscopio ai corrispondenti disegni, inserisci il
nome delle rispettive fasi e scrivile in sequenza temporale
.
Sequenza temporale delle fasi del ciclo cellulare:
................... ................... ................... ...................